UK first for trauma and orthopaedic team at St George’s
Our trauma and orthopaedic team became the first in the UK and second in the world to use the new T2 Alpha Stryker tibial nail in February.
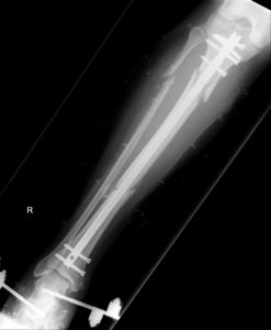
Tibial nail surgery is performed on patients who have broken their tibia bone – one of the two lower leg bones – and require surgical intervention in the means of a metal rod being inserted to fix the bone and aid the healing process.
The surgery, while a routine operation, was a UK first for the type of nail used as it has been newly developed by Stryker, our trauma equipment supplier.
Stryker supplies many hospitals in the UK with trauma equipment; however they have selected St George’s and one other provider as centres they trust to trial their new products and offer feedback on.
Mr Alex Trompeter, Consultant Orthopaedic Trauma and Limb Reconstruction Surgeon, led the multidisciplinary team undertaking the operation on Saturday 23 February.
Mr Trompeter said: “As a Major Trauma Centre, we see some of the most severely injured patients from a large catchment area requiring surgery. It’s a huge privilege to be selected to use this equipment first and be able to offer feedback in return.
He added: “It’s an honoured position to be in as it means that they appreciate, value and respect our expertise and opinion.”
Jason Garnier, 42, was the first patient to have surgery using this type of tibial nail at St George’s following a lorry accident on the M25 two weeks ago.
He said: “I’m lucky to be here today, it’s amazing what they’ve done and I’m recovering much better than expected too – I feel very lucky!”
Jason has now been discharged to recover further at home in Essex. The x-ray below shows the nail in place post-surgery.

Notes to editors
For more information, please contact Pippa Harper, Media Manager at St George’s
philippa.harper@stgeorges.nhs.uk or 020 8266 6128.
